症例集
「医療法人明貴会 三条山口歯科医院」では、さまざまな患者さまの口腔内状況やご希望に応じたインプラントの治療を行っております。
その一部をインプラント治療内容別に症例写真とともにご紹介いたします。
症例1
治療前

治療後

| 治療名称 | インプラント(1本) |
|---|---|
| 年齢・性別 | 50代 女性 |
| 治療費用(税込) | 683,650円 |
| 治療期間 | 8ヵ月 |
| メインテナンス頻度 | 3ヵ月毎 |
| 治療内容 |
症状:左下の奥歯が破折し歯茎が腫れてお痛みもあった患者様です。ご希望によりインプラント治療を行いました。 治療方法:診断・治療計画後、インプラント1本埋入手術を行いました。 治療結果:埋入後の経過もよく短期間で上部構造を装着完了した症例です。 |
| 治療を行う上での注意点 (リスク/副作用) |
外科手術により、以下のような症状が出る場合があります。 神経の圧迫や損傷による麻痺・血管損傷による多量出血・術後の腫れと内出血によるあざ。(治療はすべて各患者さま固有の症例に対応したものであり、他の方への治療結果を保証するものではありません。) |
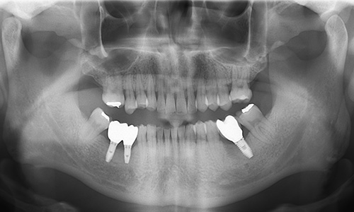
症例2
治療前

治療後

治療前

治療後

| 治療名称 | インプラント(3本) |
|---|---|
| 年齢・性別 | 50代 男性 |
| 治療費用(税込) | 1,869,450円 |
| 治療期間 | 10ヵ月 |
| メインテナンス頻度 | 3ヵ月毎 |
| 治療内容 |
症状:左下の奥歯が破折し歯茎が腫れてお痛みもあった患者様です。ご希望によりインプラント治療を行いました。 治療方法:まず歯周病の治療を集中して行い、歯茎の状態が安定したのを確認してから抜歯即時を行いました。 治療結果:抜歯後、骨造成を行いインプラント埋入手術を行い経過も良く短期間で上部構造の装着となりました。 |
| 治療を行う上での注意点 (リスク/副作用) |
外科手術により、以下のような症状が出る場合があります。 神経の圧迫や損傷による麻痺・血管損傷による多量出血・術後の腫れと内出血によるあざ。(治療はすべて各患者さま固有の症例に対応したものであり、他の方への治療結果を保証するものではありません。) |
症例3
治療前

治療後

| 治療名称 | 上下インプラント オールオン4 |
|---|---|
| 年齢・性別 | 60代 女性 |
| 治療費用(税込) | 5,841,000円 |
| 治療期間 | 11ヵ月 |
| メインテナンス頻度 | 3ヵ月毎 |
| 治療内容 |
症状:上下入れ歯の使用で口蓋が気持ち悪く、下は粘着性のものがひっついてくるのでしっかりと噛めるようようにしたいというご希望でした。 治療方法:残っている歯を抜歯して即日仮歯を入れて食事が可能となるインプラント治療を行いました。 治療結果:オールオン4が可能な症例で即日仮歯が装着可能となりました。 |
| 治療を行う上での注意点 (リスク/副作用) |
外科手術により、以下のような症状が出る場合があります。 神経の圧迫や損傷による麻痺・血管損傷による多量出血・術後の腫れと内出血によるあざ。(治療はすべて各患者さま固有の症例に対応したものであり、他の方への治療結果を保証するものではありません。) |

